脈脈心血管病網 >> 心血管經驗知識 >> 冠心病經驗知識 >> 冠心病造影多少錢

冠心病造影多少錢

概 述

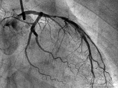
首先介紹一下冠心病造影,冠心病造影也被稱作冠脈造影或者冠狀動脈造影,是檢查冠心病,診斷冠心病目前最標准的一項檢查項目,而冠脈造影只是檢查,並沒有什麼治療效果的作用,並且檢查費用比較高,根據各地區的消費不等,一般冠脈造影的價格在3000到6000之間,如果您個人有醫療保險的話,會減少一部分費用,當然這些價錢還不加上住院的費用等等,所以得了冠心病的患者平時一定要注意,不然後面治療花費的費用將更多,做一個支架都得在9000以上,後面還要加上藥物的費用,住院的費用等等。所以,還是要多愛護自己的身體。

冠心病造影多少錢

步驟/方法:

1首先,還是支持各位患者到大型的綜合醫院進行檢查治療,冠心病屬於心腦血管疾病的一種,冠心病史由於動脈粥樣硬化所導致的,而冠心病造影也被稱作冠脈造影或者冠狀動脈造影,是檢查冠心病,診斷冠心病目前最標准的一項檢查項目,而冠脈造影只是檢查,並沒有什麼治療效果的作用。

第1步

2其次,就是冠脈造影的價格,冠脈造影相對於其他較普通的檢查來說費用較高,而且只是檢查作業,並沒有治療的作用,根據各地區的消費不等,一般冠脈造影的價格在3000到6000之間,如果您個人有醫療保險的話,會減少一部分費用,當然這些價錢還不加上住院的費用等等

第2步

3最後,就是要提醒各位患有冠心病的朋友,還是及早的給自己辦理一個醫療保險,給自己的以後有一個經濟上的保障,同時還要提醒各位患者,平時一定要多注意身體,因為治療冠心病需要花費很多的費用,所以得了冠心病的患者平時一定要注意,不然後面治療花費的費用將更多,做一個支架都得在9000以上,後面還要加上藥物的費用,住院的費用等等。

注意事項:

患有冠心病的朋友一定保持心情舒暢,每天保持睡眠質量,不可以做劇烈運動,不能油膩辛辣的食物,平時一定要注意養生,不可以受太大的刺激,刺激性的運動或者娛樂游戲一定要禁止。祝各位患者早日康復!

熱門文章
高血糖引起上眼皮裡面潰瘍怎麼辦

概 述 最近奶奶特別的煩悶,因為她的眼睛的上眼皮裡面潰瘍了。上眼皮靠近眼睛處起了許多小疱疹,破了之

慢性肺源性心髒病病人的護理

概 述 慢性肺源性心髒病其臨床表現為呼吸衰竭以及心力衰竭。而且肺性腦病是慢性肺心病死亡的首要原因。

心血管疾病治療 心血管疾病護理 高血壓問答 冠心病問答 心肌梗塞

Copyright © 脈脈心血管病網 All Rights Reserved