1、心電圖
心電圖是冠心病診斷中最早、最常用和最基本的診斷方法。專家指出,與其它診斷方法相比,心電圖使用方便,易於普及,當患者病情變化時便可及時捕捉其變化情況。
2、動態心電圖
動態心電圖是一種可以長時間連續記錄並編集分析心髒在活動和安靜狀態下心電圖變化的方法。可提高對非持續性異位心律。

3、臨床表現檢查
還包括根據冠心病臨床表現檢查,如心絞痛是冠心病的主要臨床症狀,根據心絞痛發作時的部位、性質、誘因、持續時間、緩解方式等特點和伴隨症狀及體征便可鑒別心絞痛和心肌梗塞。
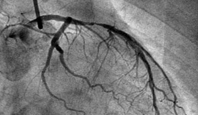
4、冠狀動脈造影
冠狀動脈造影是目前冠心病診斷的“金標准”。可以明確冠狀動脈有無狹窄、狹窄的部位、程度、范圍等,並可據此指導進一步治療所應采取的措施。

5、核素心肌顯像
核素心肌顯像也是檢查冠心病的一種方法,如果根據病史,心電圖檢查不能排除心絞痛時可做此項檢查。
6、心電圖負荷試驗
心電圖是臨床觀察心肌缺血最常用的簡易方法。當心絞痛發作時,心電圖可以記錄到心肌缺血的心電圖異常表現。
本文來自網絡,版權為原作者所有,如有侵犯權益,請聯絡我們刪除。