心包炎的症狀
(1)胸痛:
是急性心包炎最主要的表現,多見於急性非特異性心包炎及感染性心包炎炎症變化的纖維蛋白滲出階段。疼痛的性質和部位是易變的,常位於胸骨後或心前區,可放射至頸部和背部,呈銳痛,偶可位於上腹部。

(2)呼吸困難:
呼吸困難是心包炎心包滲液時最突出的症狀,主要是為避免心包和胸膜疼痛而產生呼吸變淺變速。呼吸困難也可因發熱、大量心包積液導致心腔壓塞、鄰近支氣管、肺組織受壓而加重,表現為面色蒼白、煩躁不安、胸悶、大汗淋漓等。患者常采取坐位,身體前傾,這樣,可使心包積液向下、向前移位以減輕其對心髒及鄰近髒器的壓迫,從而緩解症狀。

(3)全身症狀:
可伴有潛在的全身疾病如結核、腫瘤、尿毒症所致的咳嗽、咳痰、貧血、體重下降等症狀。
心包炎的體征
(1)心包摩擦音:
為急性纖維蛋白性心包炎特異性體征,是由於炎症而變得粗糙的壁層與髒層心包在心髒活動時相互摩擦產生的聲音,似皮革摩擦呈搔刮樣、粗糙的高頻聲音,往往蓋過心音且有較心音更貼近耳朵的感覺。

(2)心包積液:
症狀的出現與積液的量和速度有關,而與積液性質無關。當心包積液達200~300ml以上或積液迅速積聚時出現下列體征:
①心髒體征:心髒搏動減弱或消失,心濁音界向兩側擴大,相對濁音界消失。心音輕而遠,心率快。少數人在胸骨左緣3~4肋間可聽到舒張早期額外音(心包叩擊音),高調呈拍擊樣,是由於心室舒張時受心包積液的限制,血液突然終止形成旋渦和沖擊心室壁產生震動所致。

②左肺受壓迫征象:大量心包積液時,心髒向左後移位,壓迫左肺,引起左肺下葉不張,在左肩胛下角區出現肺實變表現,稱之為Ewart征。
③心髒壓塞征象:大量心包積液或積液迅速積聚,引起心包內壓力超過20~30mmHg時即可產生急性心包壓塞征,表現為心動過速、心排量下降、發绀、呼吸困難、收縮壓下降甚至休克。如積液為緩慢積聚過程,也可產生慢性心髒壓塞征,表現為靜脈壓顯著升高,頸靜脈怒張和吸氣時頸靜脈擴張,稱Kussmaul征,常伴有肝大、腹水和下肢水腫。

心包炎的檢查
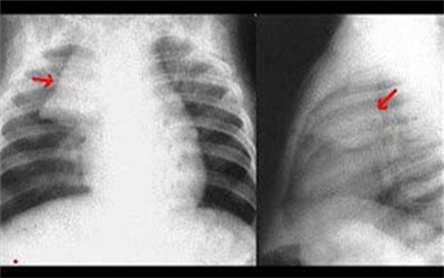
1、X線檢查:心髒陰影大小正常或稍大,心增大可能由於心包增厚或伴有心包積液,左右心緣正常弧弓消失,呈平直僵硬,心髒搏動減弱,上腔靜脈明顯增寬,部分病人心包有鈣化呈蛋殼狀,此外,可見心房增大。
2、心電圖:多數有低電壓,窦性心動過速,少數可有房顫,多個導聯T波平坦或倒置。有時P波增寬或增高呈“二尖瓣型P波”或“肺型P波”表現左、右心房擴大,也可有右心室肥厚。

3、超聲心動圖:可見右心室前壁或左心室後壁振幅變小,如同時有心包積液,則可發現心包壁層增厚程度。
4、心導管檢查:右心房平均壓升高,壓力曲線呈“M”形或“W”形,右心室壓力升高,壓力曲線呈舒張早期低垂及舒張晚期高原的圖形,肺毛細楔嵌壓也升高。
本文來自網絡,版權為原作者所有,如有侵犯權益,請聯絡我們刪除。